微流控芯片的醫學應用:單細胞識別和檢測突變表皮生長因子受體(EGFR)

表皮生長因子受體(EGFR)的突變輔助診斷,在酪氨酸激酶抑制劑靶向癌癥的治療中,被認為具有至關重要的作用。有效識別少量的EGFR-突變細胞是當前臨床治療的迫切需求。但是,這些突變細胞信號往往被大部分正常細胞的噪聲信號所掩蓋,妨礙了突變細胞的有效識別。
國家納米科學中心胡志遠、魏澤文教授等人提出一種基于微流控芯片的方法,有效實現了EGFR的多重突變在單細胞水平的檢測。利用微免疫熒光成像技術輕易識別出EGFR-表達細胞,這些單細胞被放置于特別設計的硅微米通道內。同時,通過單細胞的原位裂解,對EFGR-表達細胞的分解物進行進一步監測,避免交叉污染。這項研究證實,微流控芯片技術不僅可以檢測是否存在EFGR突變,而且能提供很多其他單細胞級別的信息:比如具體到哪個細胞發生突變,以及同一細胞是否存在多重突變等等。本研究提出的微流控芯片技術將推動簡便廉價的DNA Sanger測序成為腫瘤靶向治療前的常規測試。
文章發表于Nano-Micro Letters期刊2018年第10卷第1期,詳情請閱讀全文,可免費獲取。文章題目:Identifying EGFR-Expressed Cells and Detecting EGFR MultiMutations at Single-Cell Level by Microfluidic Chip
關鍵詞:EFGR突變,單細胞分析,微流芯片,酪氨酸激酶抑制劑
引用信息:Ren Li . Mingxing Zhou . Jine Li . Zihua Wang . Weikai Zhang . Chunyan Yue. Yan Ma. Hailin Peng. Zewen Wei . Zhiyuan Hu, Nano-Micro Lett. (2018) 10: 14. https://doi.org/10.1007/s40820-017-0168-y

圖1:微流控芯片原理及其操作圖,a) 細胞混合物被吸入一個微流體芯片,它由三個層次組成:微流體通道、細胞捕獲陣列和細胞裂解物收集室。流速為3微升每分鐘;b) 細胞進入微孔,方形微孔設計適合于只有一個細胞;c) 芯片熒光檢測特定蛋白符號的細胞;d) 藍色球代表陰性的細胞,呈現出只有DAPI藍色熒光,而綠色球代表陽性細胞,表現出綠色FITC和DAPI藍色;e) 微孔的細胞裂解通過微流體通道輸入細胞裂解液,細胞裂解液直接作用于細胞裂解液收集室;f) 細胞裂解液分別從細胞裂解物收集室收集,用于DNA擴增和測序。
為了清楚地顯示芯片結構,示意圖不遵循精確的井數和尺寸。

圖2:微流控芯片的制作。a)由三層組成的微流控芯片的制作工藝,分別用數字1, 2和3表示, b)空硅微孔(左欄)和單細胞占據微孔(右列)的SEM圖像

圖3:細胞俘獲效率的優化。捕獲細胞的效率被定義為捕獲的細胞與注入到微流控芯片中的所有細胞的比率。a)細胞捕獲效率和方形微孔的邊長之間的關系。b)細胞捕獲效率與細胞捕獲時間的關系。c) 細胞捕獲效率和細胞密度的關系。d) 被困的單細胞用DAPI染色,呈現藍色斑點。

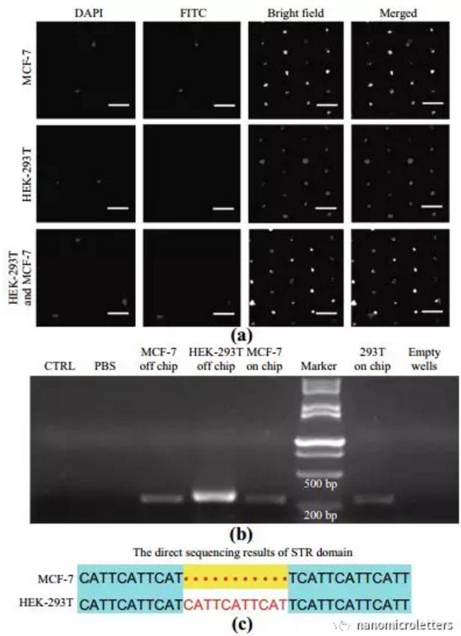
圖4:熒光識別、擴增和測序MCF-7細胞。a)微孔細胞的熒光圖像,上面一排是包含兼有DAPI(藍色)和FITC(綠色)染色的MCF-7細胞的區域;中間一行只包含DAPI染色(藍色)的HEK-293T細胞;較低行包含HEK-293T細胞和MCF-7細胞。b)瓊脂糖凝膠熒光圖像證實了STR結構域的DNA擴增產物。左兩列空行和PBS的反應作為陰性對照;第三、第四左柱從純HEK-293T和MCF-7細胞的產品,無切屑加工,作為陽性對照。三右列依次是不含細胞,只有HEK-293T細胞和MCF-7細胞的芯片產品。c)STR域測序結果的從細胞裂解物的區域到分別只包含HEK-293T和MCF-7細胞的區域。

圖5:檢測EGFR多突變。a)微孔細胞的熒光圖像,上面一排是只包含兼有DAPI(藍色)和FITC(綠色)染色的EGFR信號細胞的區域;中間一行只包含DAPI染色(藍色)的HEK-293T細胞;較低的行包含HEK-293T細胞和表皮生長因子受體表達的細胞。b)Sanger測序提供了準確信息:在外顯子19,NICH1650細胞顯示缺失突變(Del E746-A750);外顯子20,NCI-H1975細胞株顯示的點突變(T790M);外顯子21,NICH1975細胞顯示點突變(L858R)。c)對于NCI-H1975細胞株,在外顯子20和21檢測到突變;對NICH1650細胞,在外顯子19檢測到突變。此外,在HEK-293T或A549細胞無假陽性結果。
(文章來源: nanomicroletters 轉載僅供參考學習及傳遞有用信息,版權歸原作者所有,如侵犯權益,請聯系刪除)
標簽:   微流控芯片 單細胞分析 EFGR突變 酪氨酸激酶抑制劑
